+34 91 594 13 05 telefono

 

 

Dra. Mercedes Martín

Unidad de fisuras faciales, Cirugía Maxilofacial, Implantes, Ortognática y Estética facial

 

 

Inicio > Cirugía maxilofacial > Cirugía ortognática

Cirugía ortognática


ortognatica

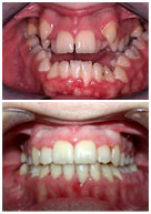
Es la cirugía estética, por excelencia, del esqueleto facial (maxilar, mandíbula, mentón y nariz), que persigue una armonía estética y una adecuada funcionalidad oro-dental. Realizamos un estudio detallado a corto, medio y largo plazo, siempre con un equipo multidisciplinar de expertos ortodoncistas Se precisa un tratamiento ortodóncico previo y posterior a la cirugía, imprescindible, para obtener un excelente resultado final.

La operación transforma caras poco atractivas y ayuda a una mejor integración en la vida social.

La simulación virtual facial tridimensional y los modelos dentales de demostración antes de la operación, pueden ayudar al paciente a entender, sí las expectativas son reales y a darse cuenta de los límites de la operación. Para ello utilizamos modernos programas de planificación quirúrgica virtual, que nos ayuda a ajustar milimétricamente la cirugía a realizar.

Una operación bien planeada y realizada mejorará considerablemente el bienestar social, psicológico, estético y dental del paciente, para el resto de su vida.

¿Donde estamos?


metro


C/ José Abascal, 22 1ºB
28003 Madrid
Tlf: 91 594 13 05
Horario de 16:00 a 20:00h.
mercedesmartin@labioleporino.org